
American Dental Association
Member Since 2017
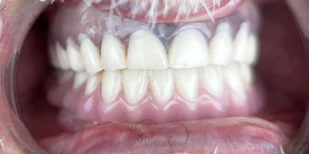
Your smile is the first impression that others have of you, so it makes sense that you would want it to be bright, white and healthy. According to the American Academy of Cosmetic Dentistry, more than 99 percent of all American ad...
Dental implants are an excellent way to restore one or more missing teeth. With the longest lifespan of any tooth-replacement, a completely natural appearance, and easy maintenance, dental implants allow you to restore your smile...
Dr. Amador have met many patients in our Los Algodones, dental office who have lost some or all of their teeth. Others may need several teeth extracted due to facial trauma or severe decay or periodontal disease. The loss of their...
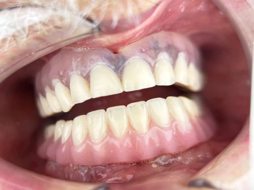
Dental crowns and bridges are custom-fitted tooth prosthetics that are used to replace or restore damaged or missing teeth. Crowns – also known as caps – are fixed over the surfaces of natural tooth structures or dental implants....
The root canal is one of the most common endodontic treatments performed, and it can mean the difference between keeping or losing a tooth. A root canal is one of the best treatments for resolving infection of the dental pulp. In...
Periodontal surgery is a dental procedure to restore the look and function of teeth, gums, and bone damaged due to severe gum disease. A periodontist can help you determine if you’re a candidate for surgery.
Dental laminates and dental veneers are two common procedures done to improve the overall appearances of someone's smile. From color to shape and size, both options ultimately provide non-invasive treatments to unpleasant smiles....
Inlays and onlays are dental restorations that are more extensive than dental fillings but less so than caps and crowns. They are typically formed in a dental lab and are made of gold, porcelain or resin depending on the patient’s...
If you are considering teeth whitening in Los Algodones, you are one step closer to having a beautiful smile. We whiten a lot of teeth and are used to patients coming in thoroughly confused about what products they should try. We...
Tooth extractions are routine dental procedures used to remove decayed, damaged or otherwise problematic teeth. Dentists usually make every effort to preserve natural teeth, although sometimes an extraction is necessary. Although...
A bite guard is a dental appliance custom-fit to a patient’s teeth. Bite guards serve varying purposes and are often recommended for use in patients of all ages.
Teeth cleanings are an essential part of maintaining pristine oral health. At No. 8 Dental Clinic in Los Algodones, expert dentists Cynthia Amador DDS, Jose Chavez DDS and the team oversee your oral hygiene, examine the health of...








Cynthia was recommended to me from a trusted friend and wow I was not disappointed! I was assessed in Canada before I came to Mexico and am familiar with my mouth and previous dental work completed. She quickly assessed me suggesting some options and was bang on. I had 5 Root canals completed in 1.5 hours, another 2 hours for crown prep and temps then came back for 1 hour to place the beautiful crowns. I am very happy with the price, professionalism and speed! I would highly recommended No. 8 and will be for sure going to see her again😁!
Happy Happy I'm so happy that I went to Dr Cynthia at No 8 Dental Care. I have always been afraid of dentists and I had a couple of really bad issues that had to be taken care of…... Dr Cynthia and her staff made me feel so at ease every step of the way. And now it's all done I have what I call a million dollar smile. I normally don't do reviews but in this case I would recommend Dr Cynthia at No 8 Dental Care... to anybody who is thinking to get dental work done….Thank you Dr.
Great Dentist Great prices finally got a grill to be proud hahaha can smile Now Thank you Dr. Cynthia
I got a bridge almost 10 months ago has workout great. Hoping to visit again soon.
I’ve had the very best experiences with No 8 Dentistry in Algadones, Mexico with Dr Cynthia Amador. After having a needle broke in my mouth as child, the fear of a dentist was overwhelming. Her knowledge and gentleness made her the best dentist I’ve ever sat in a chair for. Her work is excellent and the bridge she made for me is comfortable and looks really natural. I’ve had no problems in the two years since getting it. I highly recommend this dentist and will continue to see her. She’s the best and most fair
I had 2 root canals and 20 crowns. Dr Cynthia was nothing but great throughout the process. I highly recommend her. Very friendly and caring. Thank you Dr Cynthia.
I got my fillings and replaced some old crowns with Dr Cynthia at No 8 Dental Care. And she had her specialist expert in implants come to do my implant. I was so nervous and they made everything wonderful! No pain :)
I highly recommend no 8 Dental! Great Service and reasonably priced. I’ve been there 5 times and each time I took friends and family with me to get dental work done. Safe and friendly service 😄